
Diagnostyka dopplerowska jest jedną z najnowocześniejszych,
nieinwazyjnych, stale rozwijających się metod, rodzajem badania
ultrasonograficznego (USG), które pozwala ocenić dobrostan płodu
poprzez analizę parametrów opisujących krążenie matczyno-płodowe.
Odpowiednie spektrum przepływu krwi w krążeniu maciczno-łożyskowo
-płodowym jest niezbędnym czynnikiem prawidłowego rozwoju i wzrastania
płodu.
Współczesną analizę przepływów dokonuje się na podstawie kształtu fali dopplerowskiej oraz oceny parametrów takich jak:
By ocenić dobrostan płodu, badanie ultrasonograficzne za pomocą kolorowego Dopplera przeprowadzamy przede wszystkim w:
Badanie USG metodą Dopplera wykonywane jest już podczas badania genetycznego między 11 a 13 tygodniem ciąży, a następnie celem oceny dobrostanu płodu po 26 tygodniu ciąży. Stanowi pomocne narzędzie monitorowania płodu w schorzeniach towarzyszących ciąży, będąc cennym uzupełnieniem rutynowych badań biochemicznych krwi, moczu oraz pomiarów ciśnienia tętniczego w okresie ciąży.
Badanie przepływów wykonuje się w ciąży wysokiego ryzyka przy chorobach matki, m. in.:
oraz przy chorobach płodu, głównie hipotrofii czyli zaburzeniu wewnątrzmacicznego wzrastania płodu oraz przy nieprawidłowych zapisach KTG.
Badanie przepływów przeprowadzamy również przy monitorowaniu ciąży wielopłodowej.
Badanie przepływów w krążeniu matczyno-płodowym metodą Dopplera wykonywane jest przez naszego certyfikowanego specjalistę Prof. dr hab. n. med. Dorotę Nowakowską.
Certyfikat badań dopplerowskich Sekcji Ultrasonografii
Polskiego Towarzystwa Ginekologicznego
Przeszkolenie w kierunku wykonywania badań ultrasonograficznych w zakresie badań dopplerowskich według wymaganych standardów
Ocena naczyń
Tętnica pępowinowa (UMBA)
Analiza przepływu przez tętnicę pępowinową określa ryzyko hipoksji czy kwasicy u płodu. Badanie to jest wykonywane, gdy istnieje podejrzenie zaburzeń wewnątrzmacicznego wzrostu płodu. Dokładne oszacowanie jego stanu wymaga oceny także innych naczyń, najczęściej tętnicy środkowej mózgu płodu (MCA) oraz przewodu żylnego (DV). Cechy patologiczne podczas badania przepływów przez tętnicę pępowinową to brak przepływu rozkurczowego lub odwrócony przepływ rozkurczowy.
Tętnica środkowa mózgu (MCA)
Ukrwienie mózgu mierzone jest w tętnicy środkowej mózgu, którą uznaje się za naczynie najlepiej reagujące na zmiany stężenia tlenu we krwi płodu. Jeśli zaopatrzenie płodu w tlen jest niedostateczne, automatycznie rozszerzają się duże naczynia mózgu płodu w celu wyrównania deficytów.
Centralizacja krążenia (ang. brain sparing effect) objawia się zwiększeniem przepływu krwi przez mózg i naczynia serca kosztem zaopatrzenia w krew pozostałych narządów. Powstaje jako element równoważący obniżoną perfuzję łożyskową, będąc odpowiedzią płodu na hipoksję wywołaną czynnikiem łożyskowym. Zjawisko centralizacji krążenia współtowarzyszy często takim zaburzeniom jak nadciśnienie u ciężarnej, wewnątrzmaciczne zaburzenie wzrastania oraz niewydolności krążenia płodu. Głównym objawem centralizacji krążenia jest wzrost indeksów przepływów w tętnicy pępowinowej (UA) i równoczesny spadek tych indeksów dla tętnicy środkowej mózgu (MCA).
Przewód żylny (DV)
wykazano korelację pomiędzy nieprawidłowym spektrum przepływu w DV, a kwasicą u płodu. Jeżeli w obrazie kształtu fali przepływu z przewodu żylnego występuje zjawisko nieobecnego lub odwróconego przepływu późnorozkurczowego, można z dużym prawdopodobieństwem przewidzieć konieczność natychmiastowego ukończenia ciąży lub porodu w sposób zabiegowy ze względu na objawy niedotlenienia płodu.
Żyła pępowinowa (UMBV)
Patologicznym zjawiskiem podczas badania przepływów jest pojawienie się pulsacji w żyle pępowinowej, która zawsze świadczy o bardzo wysokich oporach łożyskowych a tym samym o niewydolności łożyska średniego lub ciężkiego stopnia. Badanie dopplerowskie naczyń żylnych pozwala na ocenę wydolności serca płodu.
Tętnice maciczne (UtA)
Analiza przepływu przez tętnice maciczne służy do oceny unaczynienia macicy ciężarnej, oszacowanie możliwości wystąpienia nadciśnienia tętniczego w trakcie trwania ciąży, a przy jego wystąpieniu również analizę ryzyka zaburzeń wewnątrzmacicznego wzrostu płodu.

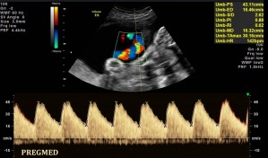
Fot.1. Prawidłowe spektrum przepływu w tętnicy Fot.2. Prawidłowe spektrum przepływu w tętnicy pępowinowej w 23 tyg. ciąży. pępowinowej w 29 tyg. ciąży.

Fot.3. Prawidłowe spektrum przepływu w tętnicy Fot.4. Prawidłowe spektrum przepływu w tętnicy pępowinowej w 25 tyg. ciąży. pępowinowej u jednego z bliźniąt w 29 tyg. ciąży.

Fot.5. Prawidłowe spektrum przepływu w tętnicy Fot.6. Spektrum przepływu w tętnicy środkowej pępowinowej u jednego z bliźniąt w 22 tyg. ciąży. mózgu u jednego z bliźniąt w 28 tyg. ciąży.

Fot.7. Prawidłowe spektrum przepływu w przewodzie Fot.8. Spektrum przepływu w przewodzie żylnym żylnym w 23 tyg. ciąży. w 23 tyg. ciąży.

Fot.9. Prawidłowe spektrum przepływu w przewodzie żylnym u jednego z bliźniąt w 22 tyg. ciąży.

Fot.10. Cztery jamy serca płodu w 22 tyg. ciąży. Fot.11. Dwukrotnie owinięta pępowina.




Zapraszamy do zapoznania się z naszą ofertą